![]() |
| Gross appearance of a normal liver. Note the smooth surface and the normal color of the liver. |
![]() |
| Gross appearance of a cirrhotic liver. The surface is no longer smooth. The normal tissue has been replaced with scar tissue. |
![]() |
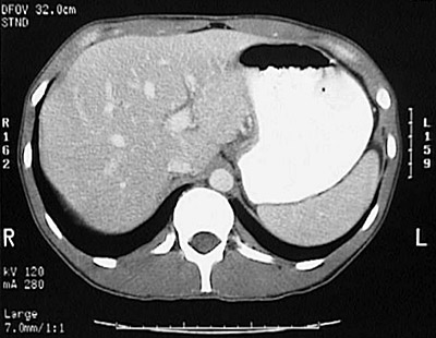
| CT scan of a normal liver. |
![]() |
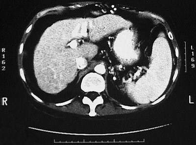
| CT scan of a cirrhotic liver. Again, the difference in the tissues is noticeable. |