Clinical Cases
Artificial Pacemaker

Artificial Pacemaker


Image courtesy of Steven Fruitsmaak

An artificial pacemaker is a medical device that is implanted into a patient whose natural ability to maintain a normal heart rate and rhythm has become impaired. An irregularity in the normal rate and rhythm of the contracting heart is known as arrhythmia (not to be confused with dysrhythmia, which refers to brain wave or speech pattern disruptions). This can mean tachycardia (rate too fast), bradycardia (rate too slow), or some defect that disrupts the normal rhythm of the heart (i.e. AV nodal blocks). The artificial pacemaker works by delivering electrical impulses to specific areas of heart muscle via electrodes. Pacemakers typically have 1-3 electrodes (also referred to as leads), depending on what type of arrhythmia is trying to be corrected. The body of the pacemaker is most often implanted under the skin of the patient's left chest.

Indications for Pacemaker Implant

After considering past medical history of heart disorders and surgeries, and evaluating for signs and symptoms of arrhythmia (dizziness, syncope, shortness of breath, fatigue, EKG abnormalities), a cardiologist may recommend implantation of an artificial pacemaker if symptoms can be relieved and/ or risk of stroke or complications of heart failure can be reduced. The most common indications for implanting a pacemaker are the following:

  1. Bradycardia - Bradycardia is defined as a heart rate slower than 60 (many athletes have heart rates below 60, but this is a normal physiological response to exercise and is not an indication for intervention). Patients may become bradycardic due to medications (beta-blockers), damage to the SA node, or simply as a normal result of aging. If heart disease has damaged the SA node (which is your heart's natural pacemaker), a condition known as sick sinus syndrome results in which the heart is bradycardic, takes long pauses between beats, and irregularly switches from fast to slow rhythms. Also, patients with atrial fibrillation sometimes undergo a procedure called atrial ablation in which a portion of the SA node that is thought to be defective is removed. These patients often receive pacemakers to compensate for the lost SA nodal tissue. Implanted pacemakers in patients with bradycardia and/ or SA node disease will often have only 1 lead (an atrial lead that paces the SA node).
  2. Heart block - Heart block is a disease of the heart's electrical conduction system. A block in this system can occur anywhere in the SA node, the AV node, the bundles of His, the right or left bundle branches, or the fascicles of the left bundle branch.

1. SA node, 2. AV node, 3. Bundle of His, 4. Left Bundle Branch (LBB),
5-6. Fascicles of LBB, 7. Left Ventricle, 8. Interventricular Septum,
9. Right Ventricle, 10. Right Bundle Branch

AV nodal blocks impair communication between the atria and ventricles. There are three types of AV block, distinguishable by the severity of the block and ECG findings:

  1. 1st degree AV block- Prolonged PR interval (>0.2 sec).
  2. 2nd degree AV block- Progressive prolongation of PR interval with some dropped beats (P wave, or atrial contraction, sometimes fails to excite QRS complex, or ventricular contraction).
  3. 3rd degree AV block- No association between P waves and QRS complexes (complete block of signal from SA node to AV node.

Pacemakers that are meant to correct a heart block usually have 2 leads, one going into the right atrium and one going into the right ventricle, so that the pacemaker can synchronize the atrial and ventricular contractions.

  1. Another common indication for implanting a pacemaker is left ventricular heart failure. Patients with severe heart disease or those who have suffered a myocardial infarct often develop heart failure as a result of the left ventricles inability to coordinately contract. These patients often receive a biventricular pacemaker that is capable of pacing both the septal and lateral walls of the left ventricle. By synchronizing both walls of the left ventricle to contract simultaneously, a biventricular pacemaker can increase the ejection fraction of a failing heart and so improve cardiac function and systemic perfusion. This method of biventricular pacing is also referred to as cardiac resynchronization therapy (CRT), and oftentimes biventricular pacemakers come with a 3rd lead that goes to the right atrium to ensure that the atria and ventricles are contracting in coordination.

Types of Pacemaker and the Implantation Procedure

Three types of pacemaker have been discussed so far. Single chamber pacemakers have 1 lead that typically enters the right atrium and terminates on the SA node to pace the heart rate. Dual chamber pacemakers typically have 2 leads that stimulate the atria and ventricles (usually right atrium at SA node and right ventricle) in order to coordinate atrial and ventricular contractions. Biventricular pacing (or cardiac resynchronization therapy) often utilizes a 3-lead pacemaker that stimulates both the septal and lateral walls of the left ventricle to contract simultaneously, as well as the right atrium to coordinate atrial and ventricular contractions.


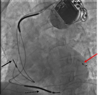
This chest X-ray shows a cardiac resynchronization device with a right atrial lead (solid black arrow), a right ventricular lead (dashed black arrow- enters right ventricle and terminates near interventricular septum), and a left ventricular lead (red arrow- travels via the heart's venous system to the coronary sinus, which sits just outside the left ventricle).

The pacemaker insertion procedure is a simple surgery that takes about an hour to perform. An incision is made in the left chest wall beneath the clavicle to create a pocket in which the body of the pacemaker will be housed. The lead or leads are then inserted into the left subclavian vein, where they are fed to the right atrium via the left brachiocephalic vein and superior vena cava. From the right atrium the leads can be directed to their targets either through the heart's chambers or vasculature.

Artificial Pacemakers on CT Scan

The movie below is the CT scan of cadaver 33512. This patient has a two-lead pacemaker. Move the timescale on the scan down to 50-55 where you can see in the patient's left chest wall an artificial pacemaker (location O7- metal objects like pacemakers, wires, and joint replacements appear bright white like bone on CT scan). Next we will follow the leads from the body of the pacemaker to their termination in the heart. Remember that these CAT scans are axial cross-sections (Computed Axial Tomography), and that because the pacemaker leads loop up and down through different cross sections of the patient's chest, we will have to move the cross-section (the timescale on the scan) up and down to keep track of where the leads are. Begin by scanning up the body from the level of the pacemaker (move the timescale to the left), going slowly so as not to miss the leads. At time 50, location O8 you can see the pacemaker leads coming off the pacemaker and inserting beneath the left clavicle into the left subclavian vein. Once you see leads enter the left subclavian vein, you will need to move the scan back down (timescale to the right) to follow the leads through the subclavian vein, into the left brachiocephalic vein that passes over the aortic arch (time 54, L8), and into the superior vena cava (time 55, K9). Continue following the leads down the SVC into the right atrium. Once inside the right atrium you will see the leads separate from each other (time 61, K8). At this point the leads individually loop up and down several times before reaching their targets (right atrium and left ventricle). See if you can follow each lead by scanning up and down until the lead terminates on its target.

The movie below is the CT scan of cadaver 33446. This patient has a 3-lead pacemaker. Scan down to the level of the pacemaker (time 52-59). Notice how much larger this pacemaker is than the double lead seen above. This is likely because this pacemaker includes a cardioverter-defibrillator that is capable of delivering high charges that can stop dangerous ventricular rhythms. Once you have found the pacemaker begin scanning up to find the lead insertion point (leads leave pacemaker at time 51, P8). Again, the leads have been inserted beneath the clavicle into the left subclavian vein (time 52, N8). Continue following the leads down through the left subclavian vein, into the left brachiocephalic vein, the SVC, and finally into the right atrium (notice that all three leads are visible at times inside left brachiocephalic vein). After the leads enter the right atrium they begin branching off toward their targets. See if you can follow the most anterior lead from time 60, K7 through the right atrium, into the coronary sinus, and ending on the left ventricle. Another lead stays in the right atrium (terminating near the SA node), and the third lead travels through the tricuspid valve into the right ventricle, finally terminating near the interventricular septum (time 65, O6). This pacemaker appears to be the type of cardiac resynchronization device that is described above.