|
Clinical Cases |
|
Starry Spleen
The term
starry spleenrefers to the appearance of a spleen on CT scan when diffuse, punctate calcifications are present. The differential diagnosis for splenic calcifications is vast, but luckily the nature of the calcifications and other CT findings are helpful in discerning between many of the diagnoses.
The spleen's major functions are related to blood filtration and monitoring of erythrocyte and leukocyte function. Therefore, diseases affecting red blood cells or monocytes and hematogenously spread infections can have affects on splenic size, appearance, and function.Differential Diagnoses for Different Presentations of Splenic Calcification
- Uniformly Increased Radiopacity: Patients with sickle cell disease and hemocromatosis often present on CT scan with a spleen showing calcification that is diffusely uniform. Increased attenuation (high attenuation is used synonymously with high radiopacity. These both mean that the image shows up very white on the CT scan) is also seen in the livers of patients with sickle cell disease and hemochromatosis. This diffuse attenuation is due to iron deposition in the liver and spleen.
Sickle Cell patient showing diffuse increased attenuation of the liver and
uniformly increased attenuation (due to calcification) of the spleen.
Image reprinted with permission from eMedicine.com, 2010.
Available at: http://emedicine.medscape.com/article/369012-overview
- Single Splenic Calcific Lesion: Patients presenting with a single localized splenic calcification typically have a hydatid cyst (Echinococcus tapeworm infection), splenic infarct, or splenic hematoma (post-trauma). It is uncommon for patients infected with an Echinococcus tapeworm to present with a splenic cyst.
- Starry Spleen (Multiple, Punctate Calcifications): The differential diagnosis for multiple punctate calcifications includes several infectious agents. The most common infections include Brucellosis, TB, and Histoplasmosis. The following are splenic presentations of these 3 diseases on CT scan:
- Brucellosis - Few, large lesions that have a calcified rim surrounding a less attenuated center. Suppurative lesions may also be present in the spleen (uncommon for TB or Histoplasmosis).
- TB - Very few fully calcified lesions (typically less than 6 lesions total). Calcifications also common in liver and mesenteric lymph nodes.
- Histoplasmosis - Much more than 6 fully calcified granulomas in the spleen. Calcified lesions are larger than those seen in TB. Mesenteric, hilar, and mediastinal lymph nodes may also show calcification.
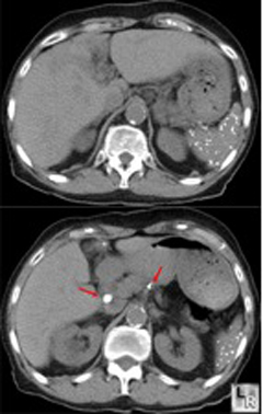
Patient with histoplasmosis showing the classic starry spleen, as well as
two calcified mesenteric lymph nodes (shown by red arrows).
Published with permission from LearningRadiology.com
The movie file below is the CT scan of cadaver 33487. Take a look at the spleen (time= 75, N11). Notice the appearance of the spleen, and the pattern of calcifications. Look now at the abdomen from time= 75-80. Notice how multiple mesenteric lymph nodes are calcified. This presentation of splenic and mesenteric lymph node calcification is most characteristic of Histoplasma capsulatum infection (Histoplasmosis).
Histoplasmosis
Histoplasma capsulatum is a fungus that is endemic to the Ohio River Valley. People living in endemic areas are commonly infected with this fungus, but less than 5% develop any symptoms. Elderly and immunocompromised patients are much more prone to developing a symptomatic Histoplasma infection. The course of Histoplasmosis is very similar to that of TB. Fungal spores from a Histoplasma mold are inhaled into the lungs. These spores then develop into the yeast form of Histoplasma, which enters the bronchial lymph nodes and spreads through the body hematogenously. These yeast cells can then be deposited in the spleen, where they are attacked by monocytes and giant cells, eventually forming a granuloma. This granuloma undergoes dystrophic calcification, which is what shows up in the spleen on CT scan.