Clinical Cases
Stroke

Stroke

The term stroke refers to a rapidly developing loss of brain function that develops due to some sort of cerebrovascular or cerebellovascular accident (CVA). There are two types of CVA: ischemic and hemorrhagic stroke. Ischemic stroke results from a loss of sufficient blood supply to an area of the brain as a result of an intravascular event. Such events include:

  1. Arterial Thrombosis
  2. Embolism
  3. Systemic Hypoperfusion (generalized decrease in blood flow to the brain, i.e. shock)
  4. Venous Thrombosis (these are likely to evolve into hemorrhagic strokes)

Brain tissue is very sensitive to insufficient oxygen and glucose supply, and is more susceptible to injury caused by ischemic bouts than most other tissue types. After three hours of ischemia permanent brain tissue damage occurs, and the affected area of the brain starts to undergo liquefactive necrosis.

Early liquefactive necrosis
following an ischemic stroke
Late liquefactive necrosis
following an ischemic stroke

Unlike ischemic stroke, hemorrhagic stroke results from intracranial bleeding. The pressure from an expanding intracranial hematoma compresses the brain, which mechanically distorts and injures brain tissue. Furthermore, the increased pressure being applied by the hematoma can occlude arteries feeding affected areas of the brain, leading to ischemic injury as well. Hemorrhagic stroke is further broken down into several categories based on the type of intracranial bleed:

  1. Intra-axial hemorrhage (blood inside the brain)
    1. intraparenchymal hemorrhage (bleeding in the cerebral parenchyma)
    2. intraventricular hemorrhage (bleeding in the ventricles)
  2. Extra-axial hemorrhage (blood outside the brain, but still inside the cranium)
    1. epidural hemorrhage (bleeding between the dura mater and the cranium)
    2. subdural hemorrhage (bleeding in the subdural space, between dura mater and arachnoid mater)
    3. subarachnoid hemorrhage (bleeding between the arachnoid mater and pia mater)

CT Scan Diagnosis of Stroke

In order to provide appropriate life-saving treatment to a stroke patient, it is critical that you know whether the patient is suffering from ischemic or hemorrhagic stroke. If the patient is suffering from an ischemic stroke, administering a thrombolytic drug can be life saving if done within three hours of stroke onset. If, however, a thrombolytic drug is given to someone having a hemorrhagic stroke, the drug is going to worsen the bleeding, leading to a much worse outcome for the patient or death.

CT scan is often used in the emergency setting to diagnose a stroke as either ischemic or hemorrhagic. As a diagnostic tool, CT scan has the following statistical measures:

  1. CT scan without contrast for diagnosing ischemic stroke in emergency setting
    1. Sensitivity= 16%
    2. Specificity= 96%
  2. CT scan without contrast for diagnosing hemorrhagic stroke in emergency setting
    1. Sensitivity= 89%
    2. Specificity= ~100%

As you can see, if either an ischemic or hemorrhagic stroke is seen on CT scan then a diagnosis can confidently be made and appropriate treatment can proceed. CT scan is fairly reliable for ruling out hemorrhagic stroke, but is an unreliable test for ruling out ischemic stroke (this likely has to do with the fact that changes in brain tissue resulting from ischemic stroke often do not appear for hours or days following the CVA).

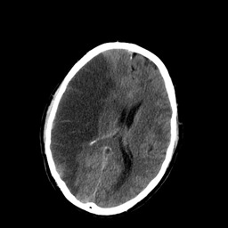
The image below shows typical changes in brain appearance following an ischemic stroke. Note the hypodense appearance of the right hemisphere and the obscuration in this area of gray and white matter. The left hemisphere provides a good comparison of normal appearing brain tissue.


Image courtesy of Lucien Monfils

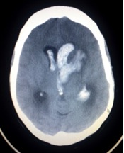
The image below is that of a patient who suffered a hemorrhagic stroke. Note that both intraparenchymal and intraventricular bleeding are present.

The move file below is of cadaver 33512. Begin by looking at the head in its entirety (time 25-40), comparing its appearance to the still CT image above. Notice that from time 30-40 blood can be seen in both lateral ventricles (especially the inferior horns at time 35, K12 and N12), the cerebral parenchyma (time 32, M10), and the cerebellum (time 35-40, L10). Now scan back up to the very top of the cranium (time 27-28). Notice at locations K10 and M10 that two holes have been drilled through the cranium and into each cerebral hemisphere. These were likely drilled as a final effort to drain the blood from the ventricles and relieve the pressure on the brain caused by the massive intracerebral hemorrhage.