Clinical Cases - Kidneys & Retroperitoneum

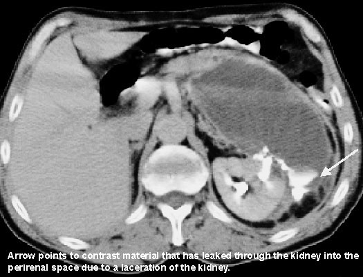
During a football game between two arch rivals, the wide receiver of one team was involved in a pass pattern across the middle of the field. The quarterback was being rushed and threw the pass high. The wide receiver leapt to catch the pass and just as he did so he was "sandwiched" between the cornerback and free safety. The two defensive players hit the receiver just below the ribs on the left side, one in front and one from behind. The receiver managed to hang on to the ball but crumpled to the turf in pain. At first it was thought that he was just "shaken up," but the pain in his flank continued and became more severe. He was taken to the emergency room and examined. His vital signs were slightly elevated, but within normal range. Plain film X-rays showed no broken bones, but the margin of the left psoas major muscle was not distinguishable. Urinalysis showed blood in his urine. An IVP and CT scans were done. The IVP showed leakage of contrast into the tissue immediately around the kidney. The hemorrhage was confined to the area immediately around the kidney and extended medially toward the abdominal aorta. The diagnosis was that the kidney had been lacerated or ruptured. Immediate surgery was performed to close the laceration. The player's season ended, but he recovered uneventfully.

Questions to consider:
  1. Where is the left kidney located in reference to the vertebrae, ribs, and psoas major muscle?
    The left kidney is located in the left paravertebral gutter, its hilum facing anterior and medially, against the psoas major muscle. The psoas major slopes laterally as it descends and therefore the lower pole of the kidney is more lateral than the upper. The 11th rib crosses the upper pole of the left kidney and the 12th rib crosses it just above the hilum. The liver pushes the kidney down somewhat so that the right kidney is slightly lower.

  2. What is flank pain and why did it occur there?
    The flank is the lateral-posterior portion of the abdomen between the costal margin and iliac crest. Pain from the kidney is usually referred there.
  3. Why was the margin of the psoas major muscle not visible?
    Normally the lateral margin of the psoas is visible on a plain film because it is of water density and immediately lateral is found fatty tissue of less radiodensity. The hemorrhage is of water density (same as the muscle) and therefore obscures it.
  4. How did blood get into the urine?
    The laceration of the kidney must have involved part of the urinary collecting system and the blood flowed to the bladder with urine.
  5. What is an IVP?
    An IVP is an intravenous pyelogram. Iodinated contrast is injected into a cutaneous vein and travels to the kidney where it is concentrated and excreted in the urine. Since the kidney was ruptured the arterial blood leaked into the surrounding tissues and was visible.
  6. What confined the hemorrhage to the area around the kidney?
    The kidney is surrounded by a perirenal fatty capsule, the renal (Gerota's) fascia and pararenal fat. The fat offers no resistance to the hemorrhage, but it was contained in the renal fascia. The renal fascia extends toward the midline and therefore blood was directed toward the abdominal aorta, thus obscuring the margin of the psoas muscle.
  7. Where would be the best place to make a surgical incision to expose the kidney without going into the peritoneal cavity?
    Incisions to expose the kidney are usually done in the flank area, just below (and sometimes in the bed of the rib - the rib actually being removed) the 12th rib and just lateral to the deep back muscles. Whenever possible surgeons like to stay out of the peritoneal cavity, thus avoiding adhesions, ileus and other complications. Since the kidney, ureter and all its blood vessels are retroperitoneal, the flank approach allows good access to the kidney and stays out of the peritoneum.

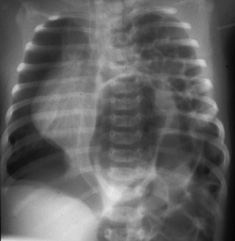
While on the pediatric surgery service, you are called to the neonatal intensive care unit to evaluate a thirty-six hour old infant. The infant is grunting on expiration, his nostrils are flaring with each respiration, his respiratory rate is 52 (normal = 30), and his oxygen saturation is 88%. Auscultation reveals an absence of breath sounds on the left side of his chest, but you note apparent bowel sounds on the left side of the chest. The patient has no bowel sounds within his abdomen. The resident orders a chest x-ray, which demonstrates bowel within the thorax . The x-ray confirms a diagnosis of a congenital diaphragmatic hernia. The patient has an endotracheal tube inserted and is placed on a ventilator. He ultimately requires additional respiratory support and is placed on an Extracorporeal Membrane Oxygenator (ECMO). The resident speaks with the family regarding the surgical repair which is necessary to repair the diaphragmatic hernia.

Questions and answers:
  1. What is a congenital diaphragmatic hernia?
    It is a herniation of abdominal contents into the thoracic cavity, a congenital defect which occurs in approximately 1/2200 infants.
  2. Where are most diaphragmatic hernias located?
    Most defects (95%) occur posterolaterally, usually on the left side.
  3. What would the surgical repair consist of?
    Reducing the hernia and its contents back into the peritoneal cavity, followed by a suture repair of the diaphragm using mesh or creating a flap.
  4. What normal apertures are found in the diaphragm, and what structures pass through each aperture?
    There are three main apertures:

    1) Caval opening: An aperture in the central tendon which transmits the inferior vena cava, the terminal branches of the right phrenic nerve and a few lymphatic vessels. This aperture is at the level of the T8 vertebra.

    2) Esophageal opening: At the level of T10, the esophagus passes through the muscle of the right crus of the diaphragm. Accompanying the esophagus are the anterior and posterior vagal trunks, esophageal branches of the left gastric vessels, and a few lymphatic vessels.

    3) Aortic hiatus: This aperture is found at the level of T12 and transmits the thoracic duct and the aorta.

    In addition there is a sternocostal foramen which transmits lymphatic vessels and the superior epigastric vessels. There are also two small apertures in each crus of the diaphragm that transmit the greater and lesser splanchnic nerve, respectively.
  5. What is the motor nerve of the diaphragm?
    Phrenic nerve (C3, 4, 5 - keeps the diaphragm alive).

A twenty-year-old migrant worker was brought to the emergency room complaining of severe back pain. He was feverish and restless. He explained that the pain had started several weeks earlier and had gradually gotten worse until it was unbearable. His blood pressure and respiration were slightly elevated, but within normal range. His temperature was 102 degrees. Physical examination showed all movements of his lumbar spine were limited and produced pain. There was a diffuse palpable abdominal mass lateral to his lumbar spine on the right side and a painful swollen area on his anterior thigh just below the inguinal ligament on the same side. Plain film X-rays showed a wider and less distinct than normal psoas major muscle shadow and a demineralization of the lumbar spine. The spaces between the lumbar vertebrae appeared narrowed, especially at T12-L1 and L1-2. A tentative diagnosis of tuberculosis of the spine (Pott's disease) was made and subsequently verified by further lab tests. The patient was given chemotherapy and antibiotics. After minor surgery, he was placed on bed rest with a balanced diet and made an uneventful recovery.

Questions to consider:
  1. What is the etiology of Pott's disease and what is the significance of the patient's age?
    Tuberculosis of the spine frequently occurs in untreated tuberculosis in young individuals, especially those on a poor diet. The tubercle bacilli enter through the respiratory tract, pass from lungs to systemic circulation where they have a predilection for lodging in the bone marrow, especially of the spine. They also attack the intervertebral disks damaging them. The described sequelae follow.
  2. What is the relationship of the psoas major muscle to the lumbar spine, inguinal ligament and anterior thigh?
    The psoas major muscle arises from the bodies of the lumbar vertebrae, passes under the inguinal ligament where it joins with the iliacus to insert on the lesser trochanter of the femur as the iliopsoas tendon.
  3. Why would the psoas appear abnormal radiologically?
    The tuberculous infection of the vertebrae involves the psoas major muscle, and an abscess formed stretching the psoas fascia. The abscess material would make the border of the muscle less well defined. The muscle is enclosed in a fascia along its length. The infection often produces an abscess that tracks along deep to the fascia and into the thigh where it may produce a painful bulge. This may be called a psoas abscess. The stretching of the fascia and muscle involvement would produce the pain and obscure the psoas shadow.
  4. How would tuberculosis of the spine involve the anterior thigh?
    Infection of the vertebral bone marrow leads to loss of bone substance and demineralization.
  5. Why would mineral be lost from the spine?
    The bacilli also attack the vertebrae and intervertebral disks causing loss of bone and destruction of the disks.
  6. What produced the back pain and pain associated with vertebral movements?
    The pain is related to the involvement of the vertebrae, the infected psoas muscle and the fact that the disks are narrowed, pinching the spinal nerves.
  7. What might the minor surgery involve?
    The surgery involves draining the abscess without which resolution occurs only slowly.