Clinical Cases - Leg & Foot

A 15-year-old girl decided to go out for the cross country team at her high school, so she started practice with the team in mid-August. After a couple of days of workouts, she went to her coach complaining of pain in the anterior portion of her left leg. Her coach told her she probably had "shin splints" and that if she kept running she would be fine. As the workout progressed, however, the pain worsened to the point that she was forced to stop. The pain continued to get worse overnight, so her parents took her to the emergency room. On examination, the physician found the leg to be red and swollen. The anterior aspect of the leg was very sensitive to palpation and felt hard and warmer than other parts of the leg. Dorsiflexion of the foot and toes was severely limited. The dorsalis pedis pulse was weak, but sensory loss was noted between the first and second toes. An intracompartmental pressure measurement was made of the anterior compartment of the leg, which was found to be alarmingly high. The patient was taken to surgery and the fascia over the anterolateral aspect of the leg was incised to relieve the pressure in the anterior compartment of her leg.

Questions to consider:
  1. What do you think happened to the girl's leg in this case?
    Presumably, the heavy exercise of muscles in the girl's leg which were not well conditioned caused them to swell. The swelling of the muscles reduced the blood flow to the region, causing ischemia and more swelling, causing increased pain and further injury. A similar condition may result following a blow (i.e. a kick during a soccer game) that injures muscles in the anterior compartment.
  2. This condition is called anterior compartment syndrome of the leg. What about the anatomy of the anterior compartment of the leg makes it susceptible to this type of injury?
    The walls of the anterior compartment of the leg are primarily bone or relatively inelastic fascia, and as a result, injured muscles that begin to swell have no space to expand into. The swelling causes an increase in intracompartmental pressure and results in further pain and injury as described above.
  3. How do you explain the sensory loss on the foot? What muscle outside the anterior compartment could you test to see if there has been any motor loss as well?
    The sensory loss on the foot occurs in the region of distribution of the deep fibular nerve (between the 1st and 2nd toes), suggesting that this nerve has been damaged. The cause of this damage is most likely compression of the nerve as the pressure in the anterior compartment increases. The integrity of the deep fibular nerve could also be tested by examining the action of the extensor digitorum brevis muscle on the dorsum of the foot. Paralysis of this muscle would indicate deep fibular nerve injury. The muscles of the anterior compartment in an injury like this would not be good indicators of deep fibular nerve injury because their apparent paralysis may be a direct result of increased pressure in the anterior compartment; however, paralysis of the extensor digitorum brevis of the foot, which is outside the anterior compartment, would confirm a nervous insult.
  4. Suppose that the pressure in the anterior compartment of the leg was sufficient to stop blood flow through the anterior tibial artery. How would you explain the presence of a weak pulse in the dorsalis pedis artery?
    The presence of a weak pulse in the dorsalis pedis artery would be the result of collateral circulation from branches of the posterior tibial artery or the perforating branch of the fibular artery.
  5. What clues would indicate paralysis of the muscles of the anterior compartment on inspection alone?
    Foot drop when walking and the inability to dorsiflex the toes are tell-tale signs of anterior compartment syndrome of the leg and compression of the deep fibular nerve when associated with the other symptoms described above.

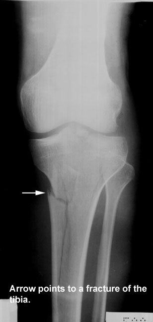
A 24-year-old football player was taken to the emergency room after receiving a blow to the left leg that resulted in severe pain and inability to stand up. The attending physician was able to locate a very painful area just below the knee and suspected a fracture to the fibula. He ordered a plain AP and lateral x-ray of the leg and knee. A clear spiral fracture in the left fibular neck and a cracked tibial shaft were shown on the x-ray. The patient was given analgesics, and a thorough neurological examination was done. No signs of nerve injury were detected. A plaster cast was applied, and the patient was discharged.

Questions to consider:
  1. Which nerve is most likely to be injured in such incidents?
    The common fibular nerve.
  2. What would the doctor look for to confirm nerve injury?
    There is loss of eversion and dorsiflexion of the foot. Foot-drop is the usual result of this injury, but this cannot be confirmed very early after the accident or when the patient is still having pain on walking. Tendon reflexes will be weak or absent. There is loss of sensation on the anterolateral aspect of the leg and the dorsum of the foot.
  3. Which of the two injured leg bones was the primary factor in the patient's inability to walk and why?
    The tibia, since it is the principal weight-bearing bone of the leg.
  4. What problems may be encountered in tibial fractures?
    Non-union is common if the fracture crosses the nutrient canal (due to damage to the nutrient artery). Since the tibia has a relatively poor blood supply, tibial fractures take longer to heal, sometimes up to 6 months.

An 18 year old male arrives in the ED by ambulance. The patient stated to the paramedics that he was struck by a car several hours prior to calling 911. He is now complaining of worsening left leg and ankle pain and is also having increased difficulty walking. Upon arrival in the ED, his left leg appears deformed proximal to the ankle. Additionally, the distal 1/3 of his left leg is now mottled and swollen. ED staff is unable to palpate left dorsalis pedis or posterior tibial pulses. X-rays show fractures of his left tibia and fibula; his leg continues to swell, and his pain continues to increase despite medication. The patient is diagnosed with compartment syndrome of the left lower leg and receives fasciotomies of all four compartments of his left lower leg as well as his foot. The patient's pain diminished after the fasciotomies and a weak dorsalis pedis pulse returned. An arteriogram was performed and showed occlusion of the patient's left fibular (peroneal) artery in the area of the fractures. It also showed perfusion of the dorsal arch of the left foot via collateral circulation. Because circulation was returned to his foot, surgical repair of the left fibular artery was not pursued.

Questions to consider:
  1. What is compartment syndrome and how does is occur?
    The lower leg is divided into four compartments by thick fascia and intermuscular septae. Within these compartments lie muscles, blood vessels, and nerves. The fascia and septae are relatively inelastic - any swelling within a compartment can raise the pressure within that compartment. Some degree of swelling is normal, such as after exercise. If an artery or vein is damaged, the resulting hematoma can increase the pressure within the compartment and surrounding compartments so much that other vessels become occluded. This results in extreme pain and diminished circulation and sensation distal to the injury. Left untreated, nerve damage and muscle death can occur.
  2. What is a fasciotomy?
    A fasciotomy involves incising the fascia encasing the affected compartment(s) to release the pressure inside. The vessels injured by high compartment pressures are either surgically repaired or allowed to heal on their own.
  3. Why wasn't this patient's left fibular artery repaired?
    Normally, the dorsal arch of the foot is supplied by the anterior tibial artery. Instead, this patient has a small anterior tibial artery, no posterior tibial artery (both congenital variations), and a large fibular artery which appears to be the major blood supply for his left foot. Despite destruction of his fibular artery, his foot regained circulation via collateral branches once pressure was released by the fasciotomies. The foot was no longer in danger of ischemic damage. In time, the collateral branches will enlarge, making repair of the fibular artery unnecessary.

A first year medical student enjoyed running for exercise and relief of tension. Near the end of a particularly long and strenuous run, she suddenly developed a severe pain on the bottom of her foot. She immediately stopped running and sat down to rest; the pain subsided somewhat, but persisted. Although she rested from running for several days, the pain did not go away and was particularly apparent if she stood for long periods in the gross anatomy lab. In frustration, she finally went to a Sports Medicine Clinic to seek relief.

Clinical evaluation revealed her foot to be normal in size, color and temperature. There was tenderness on the bottom of her foot from heel to the heads of the metatarsals, especially just anterior to the calcaneal tuberosity. Radiological tests revealed no fracture or other bone or joint deformities. Neurological tests revealed no nerve involvement other than the pain, which appeared to be related entirely to the soft tissues on the bottom of her foot.

Questions to consider:
  1. What are some possible diagnoses?
    One initial diagnosis, might be a stress fracture of one of the metatarsals. Plain radiography revealed the joints to be normal, but does not always rule out stress fractures as they may be very fine and only revealed by a bone scan (scintigraphy). Normal color and temperature of the foot would seem to rule out a vascular problem. Pain therefore appears to be related to the soft tissues (muscles, ligaments, etc.). A common foot injury in runners (up to 9% of running injuries) is plantar fascitis.
  2. What soft tissue structures are located on the bottom of the foot between the calcaneal tuberosity and the heads of the metatarsals?
    Between the heads of the metatarsals and the calcaneal tuberosity are located all of the intrinsic plantar muscles, the plantar aponeurosis, long and short plantar and spring ligaments and the plantar arteries, veins and nerves.
  3. What single fibrous structure spans the same bones?
    The plantar aponeurosis is the only structure which spans the whole distance.
  4. What is the function of the plantar aponeurosis, long plantar, spring and short plantar ligaments?
    The ligaments listed primarily maintain the longitudinal arch of the foot.
  5. Considering the function of these structures and the action of the foot involved in running, what might be the mode of injury?
    Each time the heel of the foot strikes the ground in running there is a tremendous strain on the longitudinal arch and on the muscles of the anterior leg which together act as shock absorbers. These stresses often produce painful, micro tears in the muscle attachments to the tibia ("shin splints") and tears in the plantar aponeurosis.
  6. How might the condition be treated?
    Conservative treatment of rest, ice, and non-steroidal anti-inflammatory drugs is preferred. Exercises to lengthen the Achilles tendon and the plantar aponeurosis help to prevent future injuries. Heel cushions which elevate the tender areas help.