|
|
||||||||||||
Clinical Case - Scalp, Cranial Cavity, Meninges & Brain |
|||||||||||||
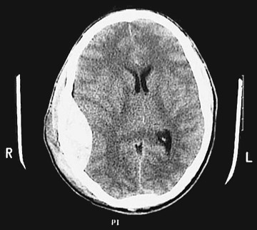
A 20-year-old student fell off his bike directly on his head on the way to school. He was not wearing a helmet and was seen unconscious when paramedics arrived. At the emergency room his pulse and blood pressure were weak, and there was no sign of scalp laceration. The doctor examined his pupils and found that the right was fixed and dilated and would not react to light. A CT scanwas ordered immediately, and a right-sided epidural hematoma was revealed. The patient was moved to the intensive care unit, and an emergency evacuation of the hematoma was planned.
Questions to consider:
- What is the source of the epidural hematoma
?
It is usually the middle meningeal artery or vein.- Why was there a dilated pupil on the hematoma side
?
The pupil dilates due to paralysis of the sphincter pupillae muscle due to loss of parasympathetic fibers carried by the oculomotor nerve and the resultant unopposed action of the intact dilator pupillae muscle (sympathetic innervation). This muscle gets paralyzed when the oculomotor nerve (CN III) is injured by pressure from a hematoma, usually epidural.- What are the structures that lie in the lateral wall of the cavernous sinus?
These are the oculomotor (III), trochlear(IV), and ophthalmic and maxillary divisions of the trigeminal (V).