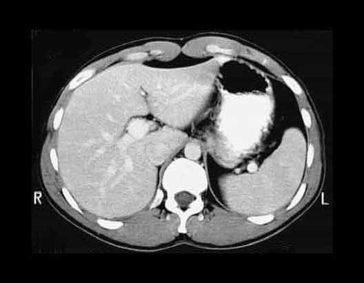
Radiology Images


Abdominal CT at T11

Roll mouse over image to display labels.

  1. Liver
  2. Azygos vein
  3. Gas bubble in stomach
  4. Stomach
  5. Spleen
  6. Abdominal aorta