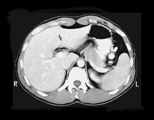
Radiology Images


Abdominal CT

Roll mouse over image to display labels.

  1. Liver
  2. Rectus abdominis muscle
  3. Linea alba
  4. Stomach
  5. Abdominal aorta
  6. Spleen
  7. Left crus of diaphragm
  8. Erector spinae muscles
  9. Hemiazygos vein
  10. Right crus of diaphragm