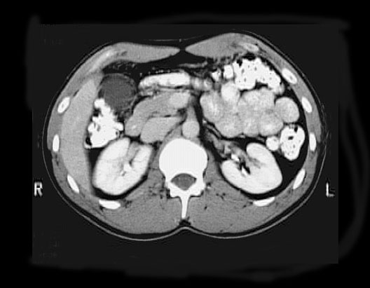
Radiology Images


Abdominal CT

Roll mouse over image to display labels.

  1. Hepatic flexure
  2. Gall Bladder
  3. Inferior Vena Cava
  4. Abdominal Aorta
  5. Jejunum
  6. Descending Colon
  7. Left Kidney
  8. Spinal Canal
  9. Right Kidney