Radiology Images


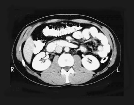
Abdominal CT

Roll mouse over image to display labels.

  1. Duodenum - Junction of 2nd and 3rd Parts
  2. Inferior Vena Cava
  3. Transverse Colon
  4. Duodenum - 3rd part
  5. Abdominal Aorta
  6. Left Kidney
  7. Psoas Muscle
  8. Right Kidney