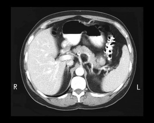
Radiology Images


Celiac Artery

Roll mouse over image to display labels.

  1. Liver
  2. Stomach
  3. Colon
  4. Celiac Artery
  5. Spleen
  6. Aorta
  7. Verterbral Body
  8. Spinous Process of vertebra
  9. Right crus of diaphragm