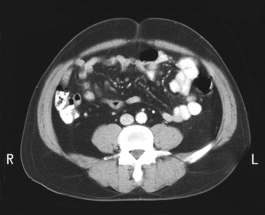
Radiology Images


Inferior Mesenteric Artery

Roll mouse over image to display labels.

  1. Right Colic (Hepatic) Flexure
  2. Inferior Vena Cava
  3. Colon
  4. Inferior Mesenteric Artery
  5. Aorta
  6. Psoas Muscle