Radiology Images


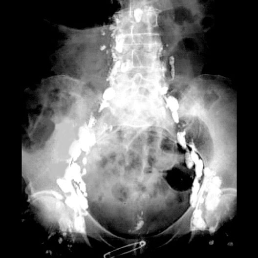
Lymphangiogram
 

Roll mouse over image to display labels.

  1. Lumbar lymph nodes
  2. Iliac lymph nodes