Radiology Images


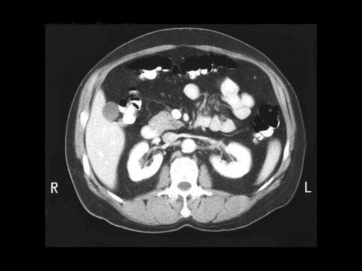
Renal Artery and Renal Vein
 

Roll mouse over image to display labels.

  1. Inferior Vena Cava
  2. Pancreas
  3. Superior Mesenteric Vein
  4. Transverse Colon
  5. Superior Mesenteric Artery
  6. Renal Vein
  7. Pancreas
  8. Left Colic Flexure
  9. Spleen
  10. Left Renal Artery
  11. Aorta
  12. Right Renal Artery
  13. Duodenum
  14. Gall Bladder
  15. Hepatic Flexure