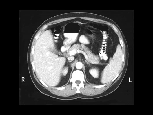
Radiology Images


Splenic Vein
 

Roll mouse over image to display labels.

  1. Portal vein
  2. Colon
  3. Stomach
  4. Pancreas
  5. Splenic vein
  6. Spleen
  7. Left Adrenal gland
  8. Left Kidney
  9. Aorta
  10. Inferior Vena Cava
  11. Right Kidney
  12. Right Adrenal Gland
  13. Liver