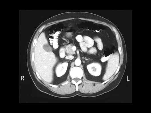
Radiology Images


Superior Mesenteric Artery
 

Roll mouse over image to display labels.

  1. Liver
  2. Gall Bladder
  3. Colon
  4. Small Bowel
  5. Superior Mesenteric Artery
  6. Aorta
  7. Spleen
  8. Left Kidney
  9. Right Kidney
  10. Inferior Vena Cava