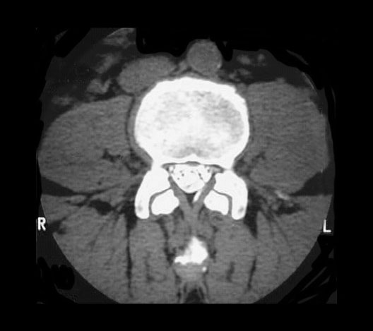
Radiology Images


L3 CT After Myelography

Roll mouse over image to display labels.

  1. Inferior Vena Cava
  2. Aorta
  3. Vertebral Body
  4. Facet joint
  5. Nerve rootlets of cauda equina
  6. Inferior articular process
  7. Superior articular process
  8. Psoas Major Muscle