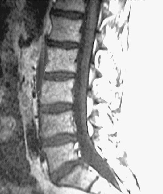
Radiology Images


Lumbar Spine MRI

Roll mouse over image to display labels.

  1. Spinal cord
  2. Body of 2nd lumbar vertebra
  3. Intervertebral disc
  4. Body of 3rd lumbar vertebra
  5. Lumbar cistern
  6. First sacral vertebra