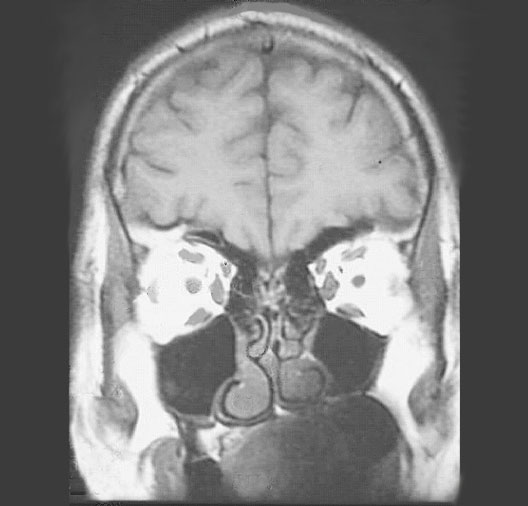
Radiology Images


Head MRI Coronal Section

Roll mouse over image to display labels.

  1. Superior Oblique muscle
  2. Superior Rectus muscle
  3. Medial Rectus muscle
  4. Lateral Rectus muscle
  5. Inferior Oblique muscle
  6. Ramus of Mandible
  7. Maxillary Sinus
  8. Brain
  9. Ethmoid Air Sinus
  10. Temporalis Muscle
  11. Optic Nerve
  12. Middle Concha
  13. Inferior Concha
  14. Tongue