Radiology Images

Print Friendly

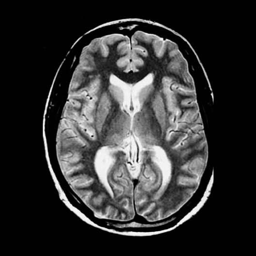
Head MRI Internal Capsules

Roll mouse over image to display labels.

  1. Thalamus
  2. White matter
  3. Lateral Ventricles
  4. Gray matter
  5. Third Ventricle