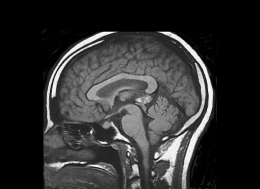
Radiology Images


Head MRI Midline

Roll mouse over image to display labels.

  1. Hard Palate
  2. Nasopharynx
  3. Sphenoid air sinus
  4. Pituitary gland
  5. Frontal sinus
  6. Frontal lobe
  7. Corpus callosum
  8. Septum pellucidum
  9. Parietal lobe
  10. Fourth ventricle
  11. Occipital lobe
  12. Cerebellum
  13. Sinus Confluence
  14. Pons
  15. Medulla Oblongata
  16. Spinal Cord