Radiology Images


Head MRI

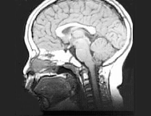
Roll mouse over image to display labels.

  1. Nasopharynx
  2. Nasal Septum
  3. Hard Palate
  4. Tongue
  5. Oropharynx
  6. Laryngopharynx