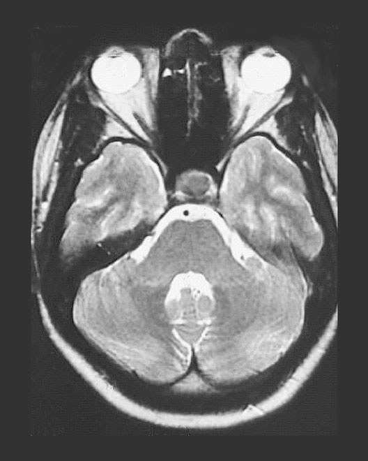
Radiology Images


Head MRI

Roll mouse over image to display labels.

  1. Sphenoid Air Sinus
  2. Hypophysis
  3. Basilar Artery
  4. Fourth Ventricle
  5. Eyeball
  6. Optic nerve
  7. Temporal lobe gray matter
  8. Temporal lobe white matter
  9. Pons
  10. Cerebellum