Radiology Images


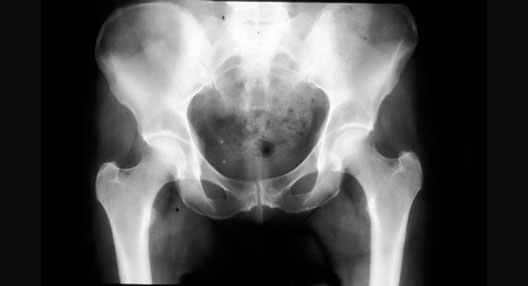
Hip X-Ray

Roll mouse over image to display labels.

  1. Acetabulum
  2. Pubic symphysis
  3. Greater trochanter
  4. Lesser trochanter
  5. Anterior superior iliac spine
  6. Anterior inferior iliac spine
  7. Head of femur
  8. Ischial tuberosity