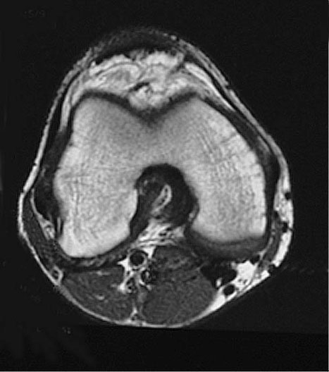
Radiology Images


Knee MRI Cross Section

Roll mouse over image to display labels.

  1. Anterior cruciate ligament
  2. Posterior cruciate ligament
  3. Lateral head of gastrocnemius
  4. Medial head of gastrocnemius