Radiology Images


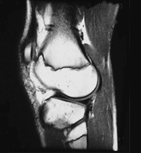
Knee MRI - Sagittal View

Roll mouse over image to display labels.

  1. Bone marrow of femur
  2. Condylar surface of femur bone
  3. Articular cartilage
  4. Lateral meniscus
  5. Head of fibula