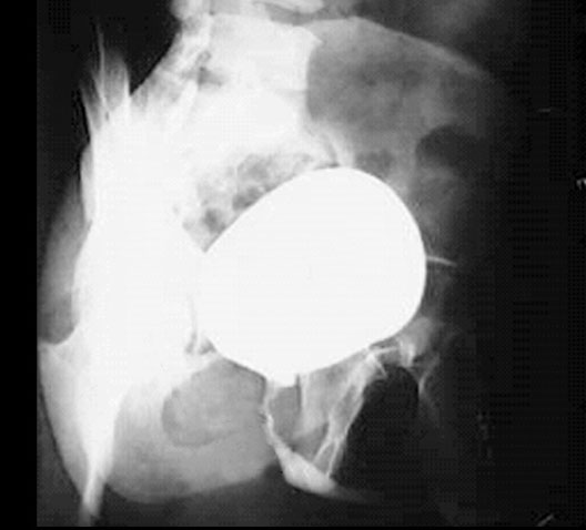
Radiology Images


Male Urethrogram

Roll mouse over image to display labels.

  1. Bladder
  2. Prostatic urethra
  3. Membranous urethra
  4. Obturator foramen