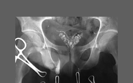
Radiology Images


Vasogram

Roll mouse over image to display labels.

  1. Ductus deferens
  2. Seminal vesicle
  3. Prostatic urethra
  4. Extravasation of contrast material