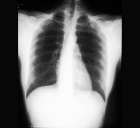
Radiology Images


Chest X-Ray

Roll mouse over image to display labels.

  1. Right lung
  2. Heart
  3. Right (acute) margin of heart
  4. Diaphragm
  5. Trachea
  6. Left lung
  7. Left (obtuse) margin of heart
  8. Apex of Heart