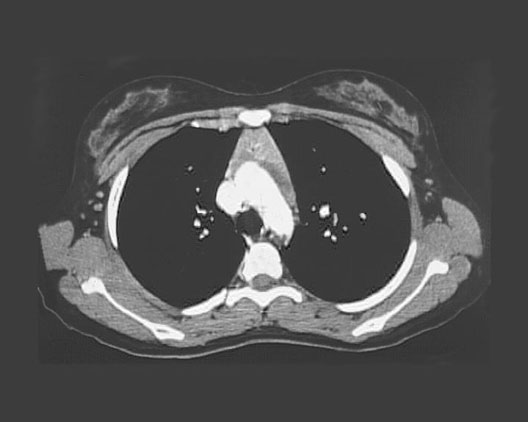
Radiology Images


Chest CT of the Great Vessels

Roll mouse over image to display labels.

  1. Superior vena cava
  2. Sternum
  3. Ascending aorta
  4. Descending aorta
  5. Left lung
  6. Right lung
  7. Scapula
  8. Trachea