Radiology Images


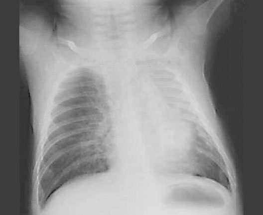
Child's Collapsed Lung

Roll mouse over image to display labels.

*Arrows point to collapsed lung.