Radiology Images


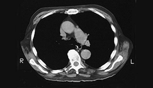
Heart CT

Roll mouse over image to display labels.

  1. Ascending aorta
  2. Pulmonary trunk
  3. Descending aorta