Radiology Images


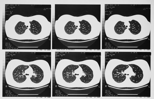
Lung CT
 

Roll mouse over image to display labels.

  1. Right lung
  2. Trachea
  3. Left lung
  4. Bifurcation
  5. Right bronchus
  6. Left bronchus