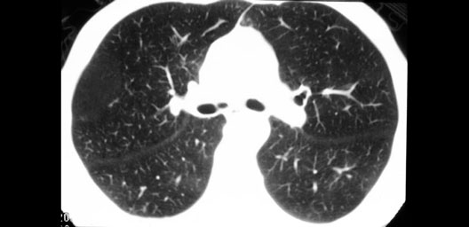
Radiology Images


Trachea Bifurcation

Roll mouse over image to display labels.

  1. Cardiac bronchus (normal variation)
  2. Right middle lobe
  3. Right main bronchus
  4. Right oblique fissure
  5. Right lower lobe
  6. Lingular lobe of the left lung
  7. Left upper lobe
  8. Left upper lobe bronchus
  9. Left main bronchus
  10. Left oblique fissure
  11. Left lower lobe