Radiology Images


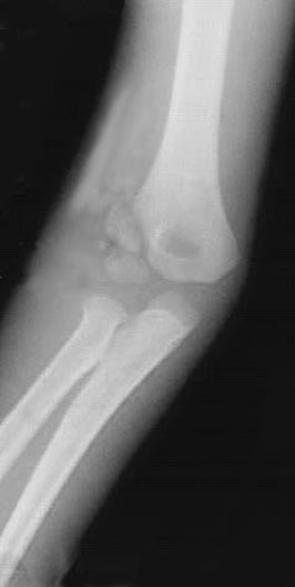
Elbow Dislocation

Roll mouse over image to display labels.

*Arrows point to dislocation