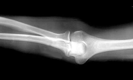
Radiology Images


Elbow Extended

Roll mouse over image to display labels.

  1. Radius
  2. Radial Tuberosity
  3. Lateral Epicondyle
  4. Humerus
  5. Ulna
  6. Medial Epicondyle
  7. Olecranon Process of Ulna