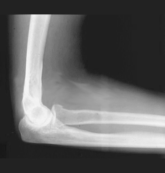
Radiology Images


Elbow Flexed

Roll mouse over image to display labels.

  1. Humerus
  2. Medial Supracondylar Ridge
  3. Coronoid Process of the Ulna
  4. Head of the Radius
  5. Radius
  6. Olecranon Process of the Ulna
  7. Ulna