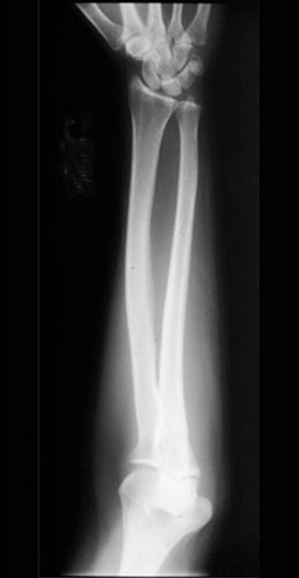
Radiology Images


Forearm X-Ray

Roll mouse over image to display labels.

  1. Styloid process of radius
  2. Radius
  3. Radial tuberosity
  4. Radial head
  5. Lateral epicondyle
  6. Styloid process of ulna
  7. Head of ulna
  8. Ulna
  9. Olecranon
  10. Medial epicondyle
  11. Humerus