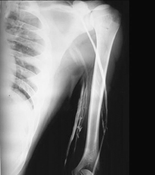
Radiology Images


Upper Limb Venogram

Roll mouse over image to display labels.

  1. Cephalic Vein
  2. Brachial Veins