Radiology Images


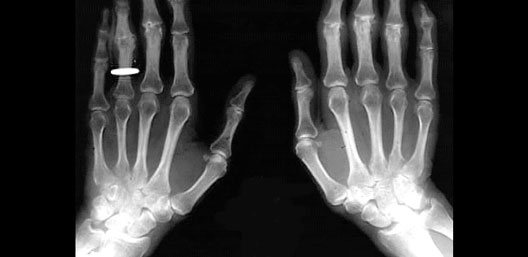
X-Ray of Hands

Roll mouse over image to display labels.

  1. Ulna
  2. Styloid process of ulna
  3. Radius
  4. Wrist Bones
  5. 5th metacarpal bone
  6. 1st metacarpal bone
  7. Sesamoid bone
  8. 1st proximal phalynx
  9. 1st distal phalynx
  10. 5th proximal phalynx
  11. 5th middle phalynx
  12. 5th distal phalynx