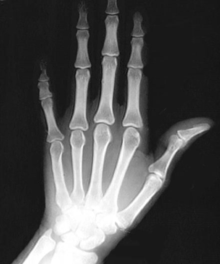
Radiology Images


Hand X-Ray

Roll mouse over image to display labels.

  1. Styloid Process of Ulna
  2. Pisiform bone
  3. Hamate bone
  4. Lunate bone
  5. Scaphoid bone
  6. Trapezium bone
  7. Capitate bone
  8. 5th metacarpal bone
  9. 5th Proximal phalanx
  10. 5th Middle phalanx
  11. 5th Distal phalanx
  12. 1st Proximal phalanx
  13. 1st Distal phalanx