Radiology Images


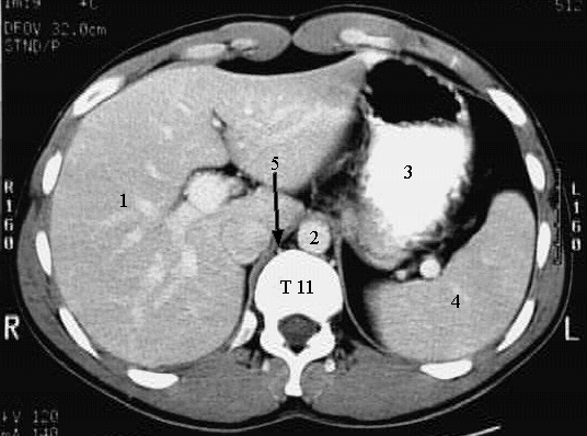
Abdomen - Cross 1
  1. Liver.
  2. Abdominal Aorta.
  3. Stomach.
  4. Spleen.
  5. Azygos vein.