Radiology Images


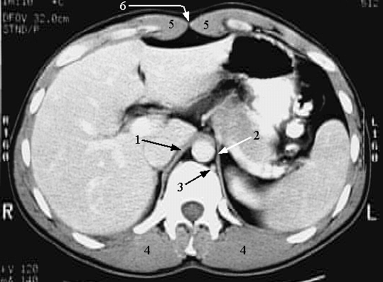
Abdomen - Abdomen Cross 2:
  1. Right crus of the diaphragm
  2. Left crus of the diaphragm
  3. Hemiazygos vein
  4. Erector spinae muscle
  5. Rectus abdominis muscle
  6. Linea alba