Radiology Images


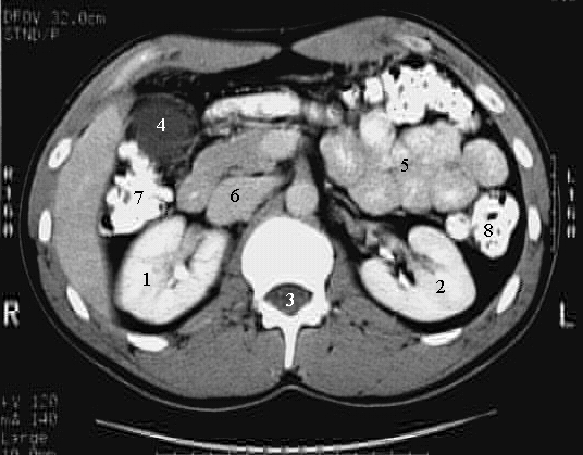
Abdomen: Abdomen Cross: 3 :
  1. Right kidney
  2. Left Kidney
  3. Spinal canal
  4. Gall bladder
  5. Jejunum
  6. Inferior vena cava
  7. Hepatic flexure
  8. Descending colon.