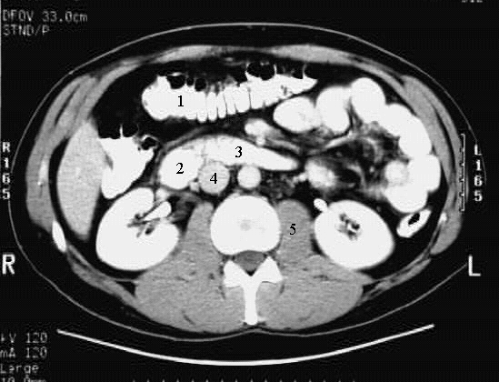
Radiology Images


Abdomen- Abdomen Cross 6 :
  1. Transverse Colon
  2. Duodenum - junction of 2nd & 3rd parts
  3. Duodenum - 3rd part
  4. Inferior Vena Cava
  5. Psoas Muscle