Radiology Images


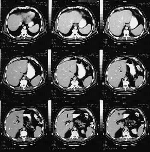
Abdomen- Abdominal CT :