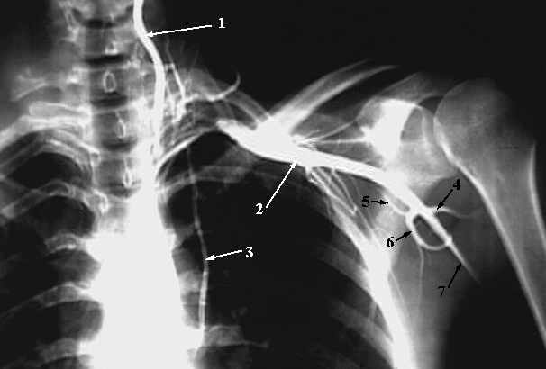
Radiology Images


Upper Limbs: Axilla Angiogram:
  1. Vertebral Artery
  2. Axillary Artery
  3. Internal Thoracic Artery
  4. Posterior Humeral Circumflex Artery
  5. Circumflex Scapular Artery
  6. Subscapular Artery