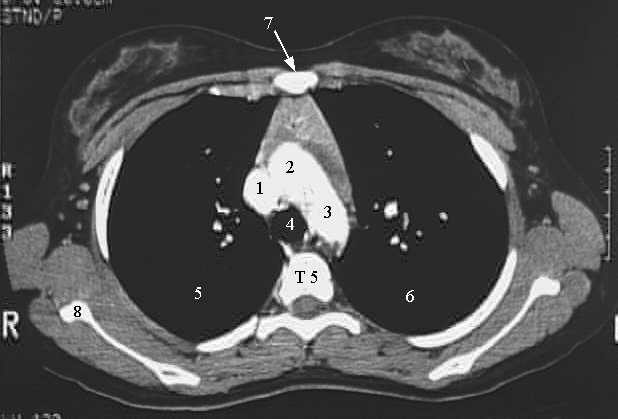
Radiology Images


Thorax-Chest CT Great vessels
  1. Superior vena cava
  2. Ascending aorta
  3. Descending aorta
  4. Trachea
  5. Right lung
  6. Left lung
  7. Sternum
  8. Scapula