Radiology Images


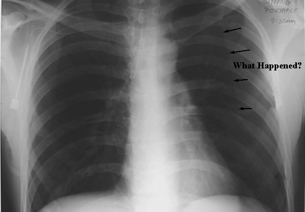
Thorax- Chest Pneumothorax
    Arrows: Lung markings disappeared.